肿瘤的复发和转移风险,对临床肿瘤治疗来说是一个难以克服的难题。
许多肿瘤患者在经历了手术、化疗和放疗等艰苦的治疗过程后,可能会误以为自己已经恢复了健康,但其实并非一劳永逸。
肿瘤为什么会复发?肿瘤的复发是由多种因素造成的,其中包括癌细胞对常规治疗如放疗、化疗和靶向药物治疗产生耐药性,这些治疗手段无法完全清除所有癌细胞,并且部分癌细胞能够逃避治疗。其次抗癌治疗可能会导致患者免疫力下降,无法有效识别和清除变异的癌细胞,进一步增加癌症复发的风险。还有抗肿瘤治疗难以彻底根除癌细胞,即便将“看得见”的肿瘤完全消灭干净,但一些“看不见”的癌细胞通过血液、淋巴系统等多途径转移到身体其他部位,从而导致肿瘤复发和转移。
那么对于肿瘤患者来说,肿瘤的复发率有多高?什么时候是复发高峰期?是否存在更为有效的预防手段呢?

常见肿瘤的复发率
肿瘤的复发率受多种因素影响,包括肿瘤类型、治疗方式及患者个体差异等。以下是几种常见肿瘤复发情况的概览:
肺癌:
非小细胞肺癌术后5年复发率约为30%至40%,小细胞肺癌的复发率则更高。不同亚型的非小细胞肺癌患者,其五年生存率各异(据美国癌症协会数据)。
胃癌:
接受根治性手术后,5年复发率约为40%至70%,且多数复发发生在术后两年内。
结直肠癌:
术后5年内,复发率约为30%至50%,且多数复发案例集中在术后头三年。
乳腺癌:
其5年复发率大致在20%至30%之间,具体数值受癌症种类、阶段、治疗手段及是否辅助治疗的综合影响。
宫颈癌:
早期宫颈癌治疗后复发率较低,但晚期患者的复发率可超过50%。
卵巢癌:
治疗后复发率较高,约60%至70%的患者在5年内会经历复发。
淋巴瘤:
霍奇金淋巴瘤治疗后复发率约为20%至30%,而非霍奇金淋巴瘤的复发率则更高。
前列腺癌:
局限性前列腺癌治疗后复发率相对较低,但晚期或治疗后PSA值上升的患者,其复发率显著增加。

肿瘤什么时候最容易复发?
临床数据揭示,恶性肿瘤治疗后半年内,特别是最初的三个月,是复发与转移风险急剧上升的关键时期。此阶段复发往往归因于肿瘤的高度侵袭性、治疗的不彻底性或患者免疫力的减弱。
此外,术后两年内总体复发率高达约80%,即便实施了局部治疗与全身化疗,部分患者仍可能遭遇亚临床隐性转移,这凸显了持续监测与后续治疗的不可或缺性。

临床上,我们通常把5年生存期作为评判疗效的重要指标。简单来说,5年生存期是指肿瘤经过手术、放化疗、靶向治疗等各种治疗后,生存五年以上的比例。肿瘤治疗5年后,病情相对稳定,癌细胞较前几年相比明显下降,复发率明显降低,可以认定为临床治愈。
生常说的肿瘤五年生存率,即五年内无复发转移,被视为【肿瘤达到临床治愈】的关键指标。原因在于,经过五年的跟踪观察,肿瘤复发的风险大幅度下降,即便复发,其生物学特性也可能变得较为温和,对治疗的响应更为积极。
因此,肿瘤患者在经历手术、放化疗后,即便体内暂时未检测到癌细胞,也不可掉以轻心,反而要定期进行临床指标的监测并接受后续治疗,以预防癌细胞的再次侵袭。
临床研究:
免疫细胞从本质上预防肿瘤复发
对于肿瘤患者来说,预防复发是延长生存期的关键所在。除了常规的体检和良好生活习惯的养成,是否存在更为有效的预防手段呢?众多临床研究表明,免疫细胞治疗为肿瘤患者重建强大的免疫系统,从而从根本上预防肿瘤复发提供了有效途径。
2022年8月,日本东京Seta诊所集团公布了一项振奋人心的研究成果。该集团在《ANTICANCER RESEARCH》期刊上发表的研究显示,114位实体瘤患者在接受免疫细胞辅助治疗联合全身治疗后,三年和五年的总生存率分别高达86.6%和80.9%,而十年生存率也达到了令人惊叹的74.5%。这一发现无疑为肿瘤患者带来了新的生存曙光。

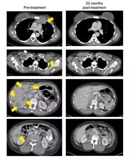
2018年,全球首位接受新型免疫疗法TIL(肿瘤浸润淋巴细胞疗法)的晚期乳腺癌患者Judy Perkins的成功案例就引起了广泛关注。

她在经历了癌症复发、多种治疗无效后,参与了新型免疫疗法TIL疗法试验,最终体内的肿瘤被完全清除,该经典案例也登上了顶级期刊《Nature》上。
自1991 年推出CIK细胞疗法以来,已有超过 5,000 名患有不同肿瘤类型的患者(包括肺癌、乳腺癌、脑癌和结肠癌)参与了CIK细胞疗法的临床研究。全球CIK细胞(或CIK细胞与树突状细胞结合)的临床试验已超过80个。CIK细胞的治疗潜力不仅限于与NKG2D 的相互作用,还结合了抗体依赖性细胞介导的细胞毒作用 (ADCC) 。与其他免疫疗法、常规化疗或放射疗法一起,CIK疗法显示出协同抗肿瘤作用。
李先亮教授:补充免疫细胞
有效提升免疫力,预防肿瘤复发
著名免疫学临床专家李先亮教授指出,提升免疫力最直接有效的方式,就是免疫细胞治疗。生物医药已进入免疫细胞治疗时代,未来医生开具的处方可能就是让患者到特定的细胞生产公司接受一针细胞治疗,这将是触手可及的现实。

免疫细胞治疗技术的突破为癌症患者带来了新的治疗希望,无论是早期发现的癌症患者还是晚期患者,都提供了更多康复的可能。
免疫细胞技术通过激活患者自身的免疫系统来攻击癌细胞,已在某些癌症中显示出显著疗效,为患者提供了更为多元化的治疗选择,显著提升了生存质量和预后。随着免疫细胞治疗技术的不断进步,我们相信,这将为癌症治疗领域带来革命性的变化。
参考资料:
[1]Zacharakis N, Chinnasamy H, Black M, Xu H, Lu YC, Zheng Z, Pasetto A, Langhan M, Shelton T, Prickett T, Gartner J, Jia L, Trebska-McGowan K, Somerville RP, Robbins PF, Rosenberg SA, Goff SL, Feldman SA. Immune recognition of somatic mutations leading to complete durable regression in metastatic breast cancer. Nat Med. 2018 Jun;24(6):724-730. doi: 10.1038/s41591-018-0040-8. Epub 2018 Jun 4. PMID: 29867227; PMCID: PMC6348479.
[2]Takimoto R, Kamigaki T, Okada S, Ibe H, Oguma E, Goto S. Efficacy of Adjuvant Immune-cell Therapy Combined With Systemic Therapy for Solid Tumors. Anticancer Res. 2022 Aug;42(8):4179-4187. doi: 10.21873/anticanres.15918. PMID: 35896218.

